Cảnh Giác Dược - Trung Tâm DI & ADR Quốc Gia
Trung tâm quốc gia Cảnh Giác Dược nghiên cứu về các phản ứng bất lợi của thuốc.
Trang chủ
Giới thiệu
Liên hệ
soi_ong_mat_chu
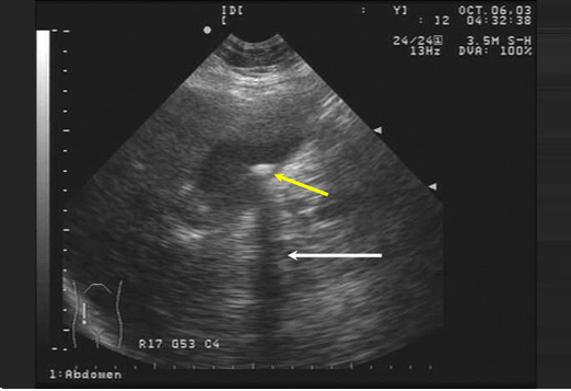
sỏi ống mật chủ
Trước đó
Tiếp theo
Bản quyền © 2026 | Theme WordPress viết bởi
MH Themes